
| 1、细胞系形态学鉴定:普通光学显微镜,低倍镜,1张 | 2、AP染色:普通光学显微镜,低倍镜,1张 |
![]() |
![]() |
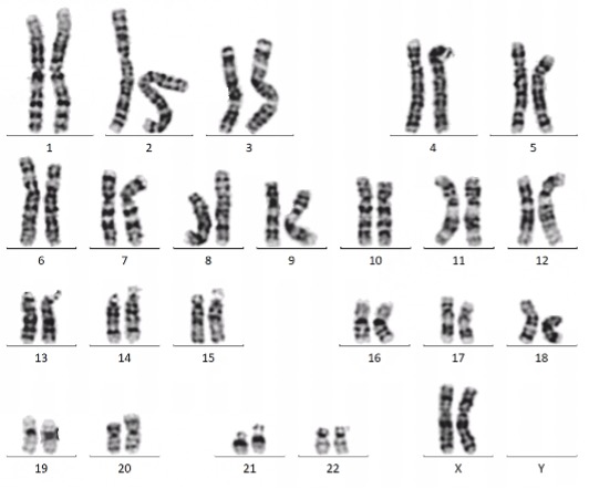
| 3、细胞核型G显带分析:普通光学显微镜,高倍镜,1张 | 4、支原体检测:PCR鉴定电泳图 |
![]() |
![]() |
| 5、流式鉴定iPSC细胞特异性标志物比例(SOX2、OCT4、SSEA4、TRA-1-60指标)或免疫荧光多能性基因验证(NANOG, OCT4, SOX2和TRA-1-60指标,高倍镜,每个基因各1张,共4张)。 |
![]() |
![]() |
| 6、STR分型检测(PBMC与iPSC可供同时检测,若供体足量):分型结果图 |
![]() |
| 7、外源基因检测分析(质粒电转法:GAPDH、EBNA1/仙台病毒感染法:SEV、KOS、c-Myc指标):产物凝胶电泳图 |
![]() |
| 8、突变位点验证(sanger):一代测序图片及序列解读结果 |
![]() |
| 9、RT-PCR多能基因验证(SOX2、OCT4、NANOG、LIN28和REX1):结果分析图 |
![]() |
| 10、三胚层定向分化(PAX6/NESTIN+SOX17/FOXA2+SMA/BRADRYURY 所有指标均检测):普通光学显微镜,中高倍镜,每个胚层各1张,共3张 |
![]() |